La VISITA CARDIOLOGICA consiste in un’ anamnesi ed un esame fisico accurati, presupposti imprescindibili per un corretto iter diagnostico. L’anamnesi e l’esame fisico infatti, oltre a stabilire un legame con il Paziente, sono le fonti più ricche di informazioni riguardo una malattia nota o sospetta e consentono di valutare adeguatamente i risultati degli esami diagnostici…
Elettrocardiogramma
L’ELETTROCARDIOGRAMMA DI SUPERFICIE a dodici derivazioni (ECG di base), parte integrante della visita cardiologica, consente di individuare tutti i principali disturbi del ritmo cardiaco e tutte le principali malattie del muscolo cardiaco. Substances that exist in the world, by putting together the ideas http://homework-writer.com/ of
Ecocardiografia bidimensionale
L’ECOCARDIOGRAFIA BIDIMENSIONALE, DOPPLER E COLOR DOPPLER è una metodica che sfruttando l’emissione di ultrasuoni e la cattura della rifrazione degli stessi che colpiscono il cuore, tramite apposite sonde, permette di visualizzare tutte le parti dell’organo e individuare eventuali patologie organiche e funzionali. http://essaynara.com/
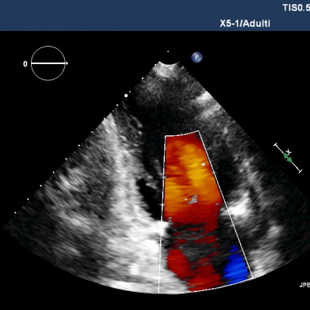
Ecocolor doppler vascolare
L’ECOCOLOR DOPPLER VASCOLARE è una magnifica metodica che ci consente di valutare lo stato di benessere o di malattia del sistema circolatorio e di individuare i pazienti con aterosclerosi precoce che necessitano di una prevenzione altrettanto precoce o i pazienti con malattia conclamata che necessitano di un’altrettanta terapia medica incisiva o di un trattamento di…
Holter pressorio
L’HOLTER PRESSORIO consiste in una misurazione frequente della pressione arteriosa nell’arco di 24-72 ore grazie ad un dispositivo simile a quello dell’Holter ECG. L’esame consente di stabilire con accuratezza se e quando il Paziente soffre di elevati valori di pressione arteriosa durante la normale attività quotidiana. help me write my essay
Elettrocardiogramma secondo Holter
L’ELETTROCARDIOGRAMMA HOLTER (o Holter ECG) consiste in una registrazione elettrocardiografica continua da un minimo di 24 ad un massimo di 72 ore. Consente di individuare eventuali anomalie del ritmo cardiaco sospettate sulla base dell’anamnesi durante la visita cardiologica, ma non evidenziate nella registrazione dell’ECG di base. http://www.essayclick.net
Prova da sforzo
L’ECG DA SFORZO, o prova da sforzo, o test ergometrico, consiste in una registrazione elettrocardiografica sotto sforzo fisico (tappeto rotante o bicicletta). Consente di aumentare o ridurre la probabilità che un paziente con dolore toracico possa avere una malattia delle coronarie. In alcuni casi può individuare alcune forme di ischemia coronarica “silente”, cioè senza sintomi…
Prova da sforzo con Lettoergometro
L’ECG DA SFORZO, o prova da sforzo, o test ergometrico, consiste in una registrazione elettrocardiografica sotto sforzo fisico (Lettoergometro). Consente di aumentare o ridurre la probabilità che un paziente con dolore toracico possa avere una malattia delle coronarie. In alcuni casi può individuare alcune forme di ischemia coronarica “silente”, cioè senza sintomi o con sintomi…
Ecocardiografia tridimensionale
L’ECOCARDIOGRAFIA TRIDIMENSIONALE, tecnica venuta alla ribalta negli ultimi anni, ha il vantaggio, rispetto a quella bidimensionale, di far vedere le varie parti del cuore secondo una visione più vicina alla realtà e quindi necessita di minore interpretazione e sicuramente aiuta nella diagnosi di numerose patologie. Inoltre l’eco 3D permette al cardiologo, in caso di patologie…
Doppler tissutale, Strain rate e Speckle tracking
Il DOPPLER TISSUTALE, LO STRAIN RATE E LO SPECKLE TRACKING sono tecniche doppler innovative che consentono di valutare sia la funzione sistolica (ovvero la capacità del cuore di pompare il sangue) che la funzione diastolica (ovvero la capacità del cuore di distendersi, accogliere il sangue e prepararsi per la successiva gittata) del cuore. Esse permettono…
Ecostress fisico
L’ECOSTRESS affermatosi ed entrato nella pratica clinica routinaria negli anni 90 per la valutazione dei pazienti coronaropatici nel corso di questi ultimi anni ha trovato applicazione anche nello studio delle valvulopatie. La metodica può essere utilizzata in alternativa alla scintigrafia miocardia per lo studio della vitalità e dell’ischemia del miocardio dei pazienti coronaropatici già noti…
Lo studio cardiologico associato offre la possibilità agli utenti di sottoporsi a quasi tutti gli accertamenti cardiologici non invasivi utili per la prevenzione, la diagnosi e il trattamento delle malattie cardiovascolari.
In particolare presso lo studio cardiologico associato i pazienti possono essere sottoposti a:
visita e consulenza cardiologica, elettrocardiogramma di superficie, Holter pressorio, Holter ECG, prova da sforzo, prova da sforzo con Lettoergometro, ecocardiografia bidimensionale e tridimensionale, doppler, color doppler, doppler tissutale, strain, strain rate, speckle tracking, ecostress fisico, ecocolor doppler vascolare arterioso.
